舌側矯正症例(リンガル矯正)
Lingual Orthodontic Cases
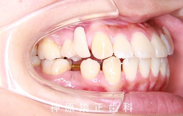
26歳 女性
症例02
- 主訴
- 前歯が出ている
- 初診時年齢
- 26歳7ヶ月
- 動的治療期間
- 2年10ヶ月
- 治療に用いた主な装置
-
上顎:舌側矯正装置
下顎:舌側矯正装置 - 抜歯 / 非抜歯
- 上顎左右第一小臼歯、
下顎右側第二小臼歯、下顎左側第二乳臼歯
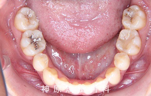
初診時
マルチブラケット装着1年後
治療終了
治療前と治療後
抜歯を伴う矯正治療について
今回の矯正治療にあたり、矯正精密検査の結果をもとに診断を行いました。その結果、左下の永久歯が生まれつき欠損していました。歯並びの乱れや口元の突出感を改善するため、小臼歯と残っている乳歯を抜くことが必要だと判断しました。
患者様とご家族には、治療の進め方や抜歯の必要性について丁寧に説明し、矯正治療の最終的な目標をご理解・ご納得いただいたうえで、治療を開始しています。
費用について
(価格はすべて税込表示になります。)
検査診断料
44,000円
矯正基本料金
770,000円
(保定装置も含めた費用になります)
上下顎舌側装置加算
440,000円
処置費(舌側矯正)
5,500円×34回
本症例では【上下顎舌側矯正¥440,000(税込)】希望されました。
通常の透明な矯正装置を希望の場合は上記の加算費用はかかりません。
※費用に関しましては、治療を開始された時点での料金となります。その後、価格が変更されている場合がございますので、ご了承ください。














